-
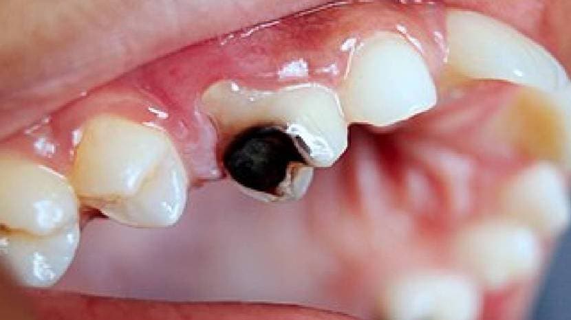
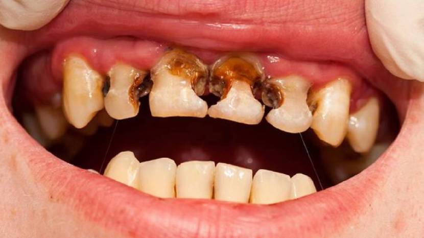
Healthy Teeth Tips: तुम्हालाही दाताची समस्या त्रास देतेय का? कमकुवत किंवा पोकळ होत आहेत का? अशा परिस्थितीत काही घरगुती उपाय खूप मदत करू शकतात. दात पिवळे होणे, हिरड्यांमधून रक्त येणे, दात किडणे आणि पोकळी येणे या समस्यांनी बरेच जण त्रस्त आहेत.
-
वैद्यकीय शास्त्र असे सुचवते की पोकळी आणि दात किडणे पूर्णपणे काढून टाकण्याआधी वैद्यकीय उपचार आवश्यक आहेत. असे अनेक प्रभावी घरगुती उपाय आहेत जे दात स्वच्छ ठेवू शकतात, हिरड्या मजबूत करू शकतात आणि पोकळी वाढण्यापासून रोखू शकतात.
-
या समस्येवर उपाय तुमच्या स्वयंपाकघरातच उपलब्ध आहे. तुमच्या स्वयंपाकघरात सापडलेल्या काही गोष्टी तुमची समस्या दूर करू शकतात.
-
तुमच्या स्वयंपाकघरात असलेला लसूण जेवणाची चव तर वाढवतोच पण आरोग्यासाठीही खूप फायदेशीर आहे. लसणाचा वापर अनेक प्रकारच्या पदार्थांमध्ये चव वाढवण्यासाठी केला जातो. लसणात असलेले अँटी-फंगल आणि अँटी-बॅक्टेरियल गुणधर्म हे एक उत्कृष्ट वेदनाशामक आहेत, ज्यामुळे दातदुखी आणि जंतांपासून आराम मिळतो. तुम्ही लसूण कच्चाही खाऊ शकता.
-
लिंबाच्या सेवनानं दात किडण्याचा त्रास कमी होऊ शकतो. लिंबू व्हिटॅमिन सीचा समृद्ध स्रोत मानला जातो. यामध्ये असलेले ऍसिड जंतू मारून वेदना कमी करण्यास मदत करतात. लिंबाचा तुकडा तोंडात ठेवा आणि तो चावा आणि नंतर स्वच्छ पाण्यानं तोंड धुवा. यामुळे दुखण्यापासून तसंच किडीपासून आराम मिळू शकतो.
-
मीठामुळे कोणत्याही पदार्थाची चव चांगली होऊ शकते किंवा बिघडू शकते. दात किडणं आणि दुखणं यावर उपचार करण्यासाठी मीठ पाणी हे समीकरण खूप उपयुक्त ठरू शकतं. यामुळे तोंड जीवाणंपासून मुक्त राहतं आणि दातांमधला चिकटपणा देखील काढून टाकण्यात मदत होते.
-
खारट पाणी तोंडातील आम्ल काढून तोंडाची पीएच पातळी सामान्य करू शकते. हे घरगुती उपाय आहेत, यानंतरही दातदुखी कायम असेल आणि दात किडत असतील तर दंतवैद्याचा सल्ला नक्की घ्या.
-
जर तुम्हाला दातदुखीचा त्रास होत असेल आणि वेदनाशामक औषधं खाऊन कंटाळा आला असेल आणि दातदुखी आणि सूज यापासून त्वरित आराम मिळवायचा असेल, तर दातांवर तुरटी वापरा. तुरटी अशी घ्यावी जी साखरेच्या कँडीसारखी वाटावी आणि त्यात कोणतेही रसायन नसावे. एका ग्लासमध्ये पाणी घ्या आणि त्यात तुरटीचा एक मोठा तुकडा घाला. ते पाण्यात एक मिनिट राहू द्या आणि एक मिनिटानंतर चमच्याने हलवा. एका मिनिटात पाण्याचा रंग दुधासारखा होईल. हे पाणी तोंडात घ्या आणि धुवा, तुम्हाला दातदुखीपासून त्वरित आराम मिळेल. लक्षात ठेवा की हे पाणी पिऊ नका, फक्त धुवा.
२७ वर्षांचं अंतर नाहीच…! नवऱ्यापेक्षा फक्त ‘इतक्या’ वर्षांनी लहान आहे सोनाली खरे; थेट सांगितलेली जन्मतारीख, ट्रोलर्सना म्हणाली…