चीनमध्ये जंगली प्राण्यांचे मांस खाण्याच्या पद्धतीवर मागील काही महिन्यांपासून जगभरामधून टीका केली जात आहे. खास करुन करोनाचा प्रादुर्भाव झाल्यानंतर चीनमधील मांस खाण्याच्या पद्धतीबद्दल जगभरातून आक्षेप व्यक्त केला जात आहे. या मांस खाण्यासंदर्भात जागतिक आरोग्य संघटनेनेही चिंता व्यक्त केली आहे. चीनमध्ये काही ठिकाणी तर कच्च मांस खाल्लं जातं. मात्र अशाप्रकारे कच्च मांस खाणं एका चिनी व्यक्तीला चांगलेच महागात पडले आहे. ब्रिटनमधील मिरर या वृत्तपत्राने यासंदर्भातील बातमी दिली आहे.
नक्की पाहा >> Video : …म्हणून त्याने घेतली गाढवाची मुलाखत; कारण समजल्यानंतर नेटकऱ्यांकडूनही होतंय कौतुक
समोर आलेल्या माहितीनुसार चीनमधील एका व्यक्तीने मासा न शिजवता कच्चाच खाल्ल्याने त्याच्या यकृताला संसर्ग झाला आणि त्यामुळे विषाणूंनी त्याचे अर्धे यकृत खाल्ले. वैद्यकीय अहवालानुसार पॅरासाइट टॅपवर्म म्हणजेच परजीवी अळ्यांनी या व्यक्तीच्या यकृतामध्ये अंडी घातली आणि त्यामधून जन्माला आलेल्या अळ्यांनी यकृताचा बराचसा भाग पोखरुन खाल्ला.
५५ वर्षीय रुग्णाला भूक न लागणे, पोटदुखी, चक्कर येणे यासारखे त्रास होऊ लागल्याने तो तपासणीसाठी रुग्णालयामध्ये गेला. हँगझोहू फर्स्ट पिपल्स हॉस्पिटलमधील डॉक्टरांनी या व्यक्तीला मागील चार महिन्यांपासून हा त्रास होतं होता. मात्र चार महिने आजार अंगावर काढल्यानंतर ही व्यक्ती तपासणीला आल्याचे डॉक्टरांना स्पष्ट केलं.
नक्की पाहा >> Video : ‘करोना वरोना काही नाहीय’ म्हणत करोना पॉझिटिव्ह रुग्णांचा हॉस्पिटलच्या गच्चीवर डान्स
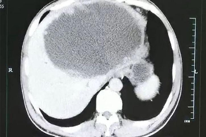
डॉक्टरांनी या व्यक्तीचे सीटीस्कॅन रिपोर्ट पाहिजे तेव्हा त्यांना धक्काच बसला. या व्यक्तीच्या यकृताचा डावा भागामध्ये मोठ्या प्रमाणात पू झाला होता. तसेच या भागामध्ये त्यांना १९ सेंटीमीटर लांब आणि १८ सेंटीमीटर रुंदीच्या अळी आढळल्या. तसेच या व्यक्तीच्या यकृतामध्ये ट्युमर्सही आढळून आले. या व्यक्तीच्या बऱ्याच आरोग्य चाचण्या करण्यात आल्यानंतर परजीवी अळ्यांमुळे होणाऱ्या आजारामुळेच त्याला त्रास होत असल्याचे स्पष्ट झालं.
Photo : AsiaWire / Hangzhou 1st Hospital
या व्यक्तीचा जीव वाचवण्यासाठी त्याच्या यकृतामध्ये ज्या द्रव्यावर या अळ्यांचे पोषण होतं होते ते बाहेर काढले. मात्र यकृतामध्ये ट्युमर असल्याने या व्यक्तीच्या प्रकृतीमध्ये विशेष सुधारणा झाली नाही. त्यामुळेच डॉक्टरांनी या व्यक्तीच्या यकृताचा खराब झालेला भाग काढून टाकला. या भाग बाहेर काढण्यात आला तेव्हा त्यामध्ये या अळ्यांची अनेक अंडी आढळून आली.
नक्की पाहा >> १७८ दिवसांनंतर सुरु झाली चीनमधील चित्रपटगृहे; दिसून आले ‘हे’ बदल
या व्यक्तीच्या शरीरामध्ये एवढ्या मोठ्या प्रमाणात टॅपवर्म कशा गेल्या यासंदर्भात चौकशी करताना या व्यक्तीने कच्चा मासा खाल्ल्याचे डॉक्टरांच्या निदर्शनास आले. डॉक्टरांनी या माशाच्या माध्यमातूनच रुग्णाच्या शरीरामध्ये टॅपवर्म गेल्या आणि त्यांनी यकृतामध्ये अंडी घातल्याने त्यांची संख्या वाढल्याचा अंदाज व्यक्त केला आहे.
